Resenha: Mastercils 3D Máscara Alongadora O Boticário

![]()
![]()
![]()
![]()
![]()
Nota: 4 estrelinhas
Do site do Boticário:
Mastercils 3D Máscara Alongadora
Fórmula com o exclusivo* X-Cil 3D®, complexo de polímeros que promove alongamento instantâneo, intensifica a curvatura e deixa os cílios perfeitamente definidos por 8 horas**. Seguro para olhos sensíveis e usuárias de lente de contato. Dermatologicamente testado. Testado sob controle oftalmológico.
Recebi um e-mail sobre esse rímel (publicado em separado) na semana passada e, pelas fotos do e-mail, fiquei muito, mas MUITO tentada à experimentar a máscara alongadora. Foi como juntar a fome com a vontade de comer…
Na sexta-feira, lá pelas 12:30, peguei minha bolsa e marchei em direção ao Boticário mais próximo para conferir todos os lançamentos (alou! Flash Iluminador Corretivo, Gloss com nova fórmula… falência à vista!).
Pedi para a atendente aplicar tanto a nova máscara alongadora quanto a nova máscara para dar volume, uma em cada olho. A máscara para volume ficou BEM meia-boca, do tipo não fazer diferença alguma. Não recomendo…
Por outro lado, a Mastercils 3D Alongadora deu um “up” bacana nos cílios. Então comprei e experimentei durante o final de semana…

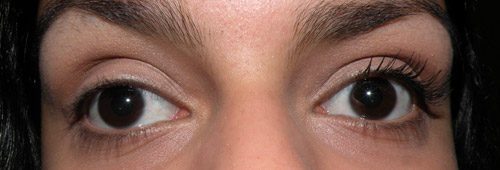
Com uma camada ela já dá um efeito bacana nos cílios (vide foto). Eles ficam bem curvados, longos e pretinhos, MASSS se você passar mais camadas, ela empelota e as pontinhas dos cílios grudam umas nas outras, o que não é legal.
A máscara seca bem rápido, então fica meio difícil de separar os cílios sem fazer algum esforço.

A Mastercils 3D custa R$ 48,90, o que não é barateeenho, mas também não é de todo terrível. A faixa de preço é mais ou menos a mesma de algumas máscaras da L’Oreal (tipo Telescopic, etc) e a embalagem é um looooshooo de tão phyna.


Só para comparar, na foto de cima temos os dois olhos maquiados com a Mastercils e na foto de baixo, olho esquerdo (o do pontinho preto) maquiado com DioShow Blackout e olho direito com a máscara BeautiFULL, Avon.
Resumindo: não é o melhor rímel da face da terra, mas é bom. Não me arrependi de ter comprado.
Perdeu uma estrelinha, porque empelota fácil (e eu odeeeio rímel empelotado).


